16 年
手机商铺
技术资料/正文
1058 人阅读发布时间:2021-09-15 16:44
杂志名称:Theranostics
影响因子:11.6
文献题目:Tumor suppressor DRD2 facilitates M1 macrophages and restricts NF-κB signaling to trigger pyroptosis in breast cancer
第一作者:Yiqing Tan
通讯作者:向廷秀(Tingxiu Xiang)
作者单位:重庆医科大学第一附属医院
本实验所用产品:GSH-TH-1
实验样品:细胞培养上清
研究背景:
乳腺癌 (BrCa) 是最常见的癌症,也是女性癌症相关死亡的第二大原因。随着乳腺癌筛查技术的发展,5 年相对生存率有所提高,但复发转移性 BrCa 的治疗仍是一大挑战。因此,了解 BrCa 进展的分子机制并确定新的有效预后生物标志物或 BrCa 治疗靶点非常重要。肿瘤抑制基因 (TSG) 对肿瘤进展至关重要,这些基因通常被 BrCa 中的 DNA 甲基化下调和沉默。本研究旨在鉴定和表征与 BrCa 预后和治疗反应相关的可能的新 TSG,这可以进一步促进 BrCa 的综合治疗。
1 结果
1.1 RNA-seq 筛选 BrCa 组织和正常组织新的潜在 TSG
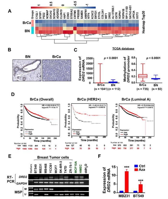
与正常乳腺组织相比,发现 DRD2 的 mRNA 表达在 BrCa 组织中显着下调(图 1A)。通过 IHC 染色,与 BrCa 组织相比,在正常乳腺组织中也发现了更高的 DRD2 蛋白质水平(图 1B)。根据 RT-PCR 和 MSP 结果,与永生化的正常乳腺细胞系相比,几乎所有 BrCa 细胞系中都可以看到 mRNA 表达的下调或丢失以及 DRD2 的启动子甲基化(图 1E)。DRD2 还显着促进 HER2 阳性 BrCa 患者的预后。DRD2 是一种潜在的 TSG,也是预测 BrCa 患者预后的有希望的生物标志物。

1.2 DRD2 作为 TSG 发挥作用并抑制上皮间充质转化 (EMT)
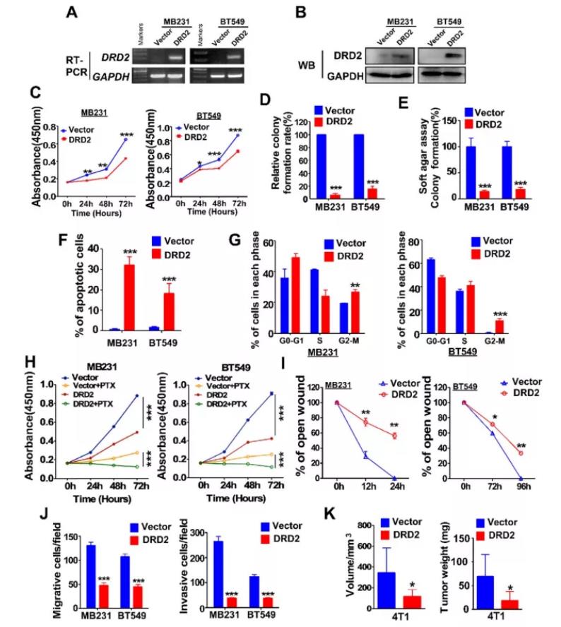
构建 MDA-MB231 和 BT549 DRD2 过表达细胞。如 CCK8 测定所证明的,DRD2 的异位表达抑制了肿瘤细胞生长(图 2C)。DRD2 表达显着促进 BrCa 细胞凋亡(图 2F 和图 S2C)并在 G2/M 期阻断 MDA-MB231 和 BT549(图 2G 和图 S2D)。与此一致,DRD2 的过表达显着降低了 BrCa 迁移和侵袭。皮下肿瘤模型表明源自 DRD2 过表达模型的肿瘤体积和重量均减少(图 2K 和图 S2H)。EMT 在癌细胞的迁移和侵袭中很重要。WB 与 IF 实验结果表明 DRD2 能够在体外和体内抑制肿瘤发生,并且 DRD2 还抑制 BrCa 细胞的 EMT。

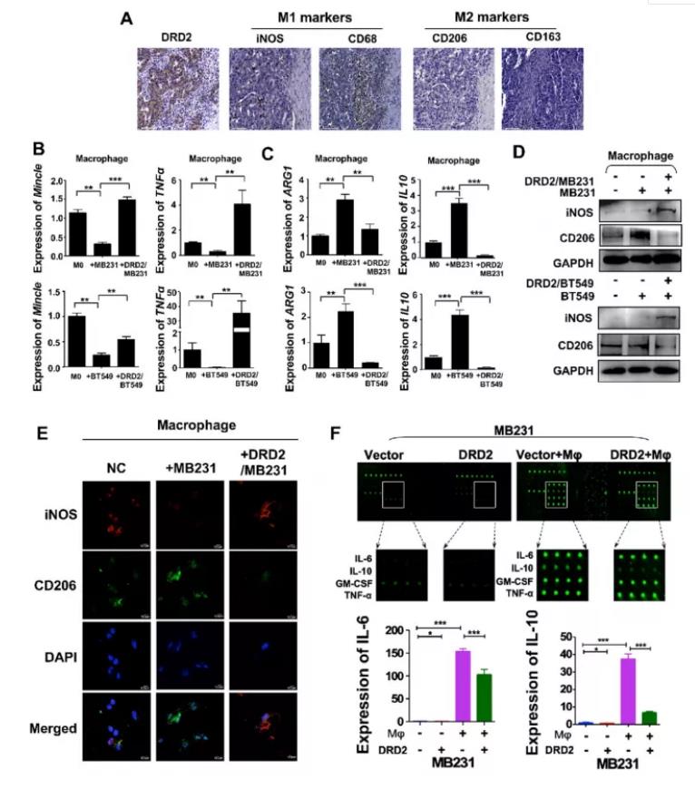
1.3 DRD2 转染的 BrCa 促进 M1 表型 Mφ
本研究中,来自 BrCa 患者的 IHC 结果表明,在具有较高 DRD2 表达的 BrCa 组织中,M1 Mφ 的浸润增加,M2 Mφ 减少(图 3A)。为了进一步研究 DRD2 在调节 TAM 中的功能,构建了 BrCa 和 Mφ 的共培养系统。当 Mφ 与表达 DRD2 的 BrCa 细胞共培养时,M1 表型的标记增加,而 M2 Mφ 标记下调(图 3B-C), qRT-PCR 还证实空载体转染的 BrCa 细胞将 Mφ 调节为 M2 型(图 3C)。WB 结果确,IF 染色显示 Mφ 在与表达 DRD2 的肿瘤细胞共培养后表现出 M1 表型(图 3E)。上述结果表明 BrCa 中的 DRD2 具有将 Mφ 重编程为 M1 表型的能力。为了探索将 Mφ 极化为 M1 表型的关键调节因子,使用 RayBiotech 抗体芯片(GSH-TH-1)结果表明,诱导 M1 极化的两种经典细胞因子 TNFα 和 IFN γ 没有增加。然而,IL-6 和 IL-10 在与 Mφ 共培养后被 DRD2 显着下调(图 3F)。分析了荧光值并进一步证实了 IL-6 和 IL-10 的下调(图 3F)。因此,DRD2 可以将 Mφ 重新编程为 M1 表型,并在期间显着下调 IL-6 和 IL-10。

1.4 DRD2 重编程的 Mφ 诱导肿瘤细胞的焦亡
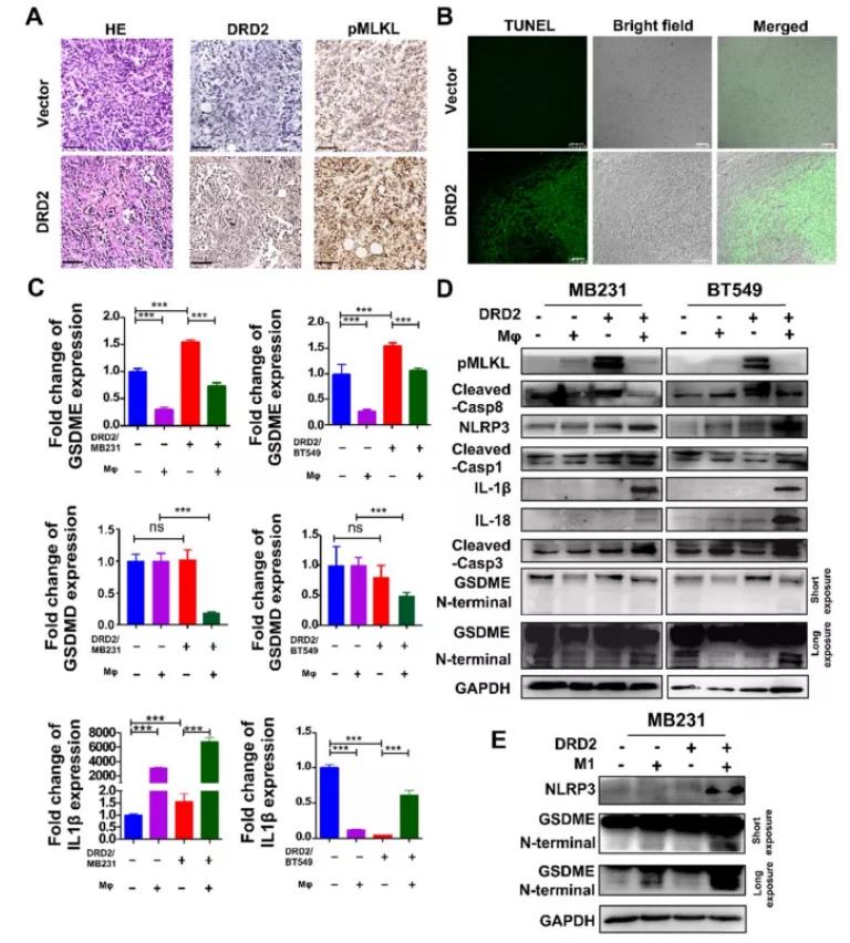
来自小鼠模型的带有 DRD2 的肿瘤表现出增加的肿瘤细胞死亡,如 HE 所示(图 4A-B)。Mφ 在期间进一步促进了 DRD2 转染的 BrCa 细胞中 GSDME 的表达(图 4C)诱导细胞焦亡(图 4D)。为了确定焦亡是否由 M1 Mφ 触发,使用 LPS 诱导的 M1 Mφ 培养基,结果表明 M1 Mφ 仅触发 NLRP3 组装并在具有 DRD2 表达的 BrCa 细胞中切割 GSDME(图 4E)。上述结果表明 DRD2 可以诱导程序性细胞死亡 (PCD),包括细胞凋亡和坏死性凋亡,并且这些事件被 Mφ 转换为细胞焦亡。并且 M1 Mφ 以 DRD2 依赖性方式触发 BrCa 细胞的焦亡。

1.5 DRD2 通过中断 TAK1 的磷酸化来限制 NF-κB 信号激活
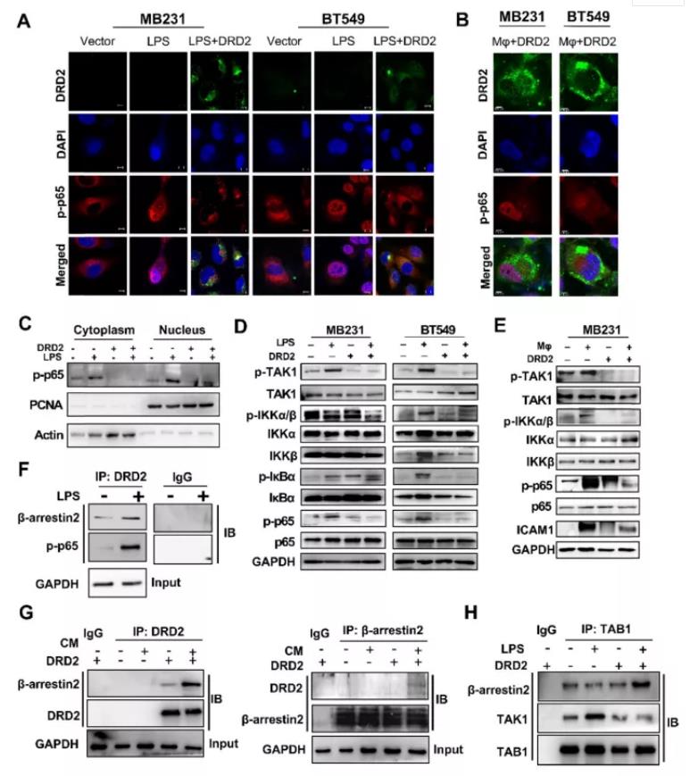
NF-κB 信号传导的激活对于触发炎性体组装和随后的细胞焦亡至关重要。IF 染色表明 DRD2 几乎阻止了 p-p65 的核易位(图 5A),但这种抑制被 Mφ 抵消(图 5B)。细胞核和细胞质的提取物也表明 DRD2 抑制了 p-p65 的核易位(图 5C)。如 WB 结果所示,DRD2 通过 LPS 刺激抑制了 IKKα/β、IκBα 和 p65 的磷酸化(图 5D)。异位 DRD2 表达也显着抑制了 Mφ 诱导的 p65 磷酸化和 IKKα/β 的上游激活(图 5E)。WB 结果显示 DRD2 下调 ICAM-1,NF-κB 的下游靶点。然而,这种下调被 Mφ 抵消(图 5E)。IKKα/β 磷酸化的抑制表明 DRD2 负介导 IKK 复合物的上游。TAK1 在催化 IKKα 和 IKKβ 中起着关键作用。TAK1 的磷酸化被异位 DRD2 表达显着抑制(图 5D-E)。实验结果表明,DRD2 通过中断其上游激酶 TAK1 来抑制 NF-κB 信号激活,发挥肿瘤抑制作用。

结论:
TSG 在介导肿瘤发生中至关重要。因此,识别新的 TSGs 和解决 BrCa 中未知的分子机制对于研究致癌机制、建立新的预后生物标志物甚至开发有效的治疗靶标至关重要。在本研究中,DRD2 可以促进 M1 表型 Mφ 的形成。尽管 TNF-α 和 IFN-γ 对诱导 M1 Mφ 至关重要,但抗体芯片结果表明,表达 DRD2 的 BrCa 细胞中 TNF-α 和 IFN-γ 没有显着增加。相反,这项研究表明 DRD2 显着抑制了 BrCa 中 IL-6 和 IL-10 的表达,IL-6 和 IL-10 的显着下调可能会使 Mφ 极化为 M1 样表型。DRD2 诱导细胞凋亡以及坏死性凋亡,并在将 Mφ 重编程为 M1 期间进一步触发细胞焦亡。这些发现表明 DRD2 是预测预后的潜在生物标志物,而 DRD2 是 BrCa 的有希望的治疗靶点。