16 年
手机商铺
技术资料/正文
119 人阅读发布时间:2025-03-31 10:26
杂志名称:Nat Commun
影响因子:14.7
文章题目:UPP1 promotes lung adenocarcinoma progression through the induction of an immunosuppressive microenvironment
第一作者:李银
通讯作者: 卢春来,葛迪,李国平
单位:复旦大学附属中山医院胸外科
本实验所用产品:AAH-CYT-5(同时检测人类样本中80种细胞因子)

本实验样本:肿瘤细胞裂解液
研究背景
肺癌是全球癌症相关死亡的主要原因,其中肺腺癌(LUAD)是最常见的组织学亚型。尽管在LUAD的治疗方法上取得了显著进展,特别是免疫疗法的引入,但许多患者的预后仍然不理想。肿瘤微环境(TME)的复杂性、治疗耐药性以及患者反应的差异进一步加剧了治疗的复杂性。因此,深入了解LUAD的分子机制并开发个性化治疗策略至关重要。
UPP1(尿苷磷酸化酶1)在尿苷代谢中起重要作用,维持体内平衡并帮助嘧啶的补救途径。最近的研究表明,UPP1在LUAD中通过调节肿瘤细胞对糖酵解抑制剂的敏感性,驱动糖酵解途径并促进肿瘤生长。此外,抑制UPP1可以增强抗肿瘤T细胞的浸润,表明UPP1在肿瘤免疫微环境中可能具有重要作用。
研究摘要
UPP1高表达肿瘤细胞与免疫抑制微环境相关
通过单细胞RNA测序分析,研究发现UPP1高表达的肿瘤细胞与FOXP3+调节性T细胞(Tregs)、MMP11+癌症相关成纤维细胞(CAFs)、LAG3+ PDCD1+ CD8+耗竭T细胞和M2样SPP1+巨噬细胞显著相关。这些细胞群体在TME中具有免疫抑制作用,表明UPP1高表达肿瘤细胞在塑造免疫抑制微环境中起关键作用。

研究结论2
UPP1通过TGF-β1依赖的机制驱动免疫抑制
利用RayBio抗体芯片AAH-CYT-5对UPP1高表达肿瘤细胞中80种细胞因子的变化,发现TGF-β1、GM-CSF、IL-1β、IL-6、IGFBP-3、CXCL5、CCL20和VEGF等细胞因子的显著上调,特别是TGF-β1的显著增加。
UPP1的上调导致TGF-β1的显著增加,TGF-β1是TME中主要的免疫抑制因子之一。通过共培养实验,研究发现UPP1高表达的肿瘤细胞能够促进CD4+ T细胞向Tregs分化,并诱导CD8+ T细胞进入耗竭状态。此外,UPP1还通过TGF-β1促进巨噬细胞向M2表型转化,并增强成纤维细胞的促肿瘤特性。

研究结论3
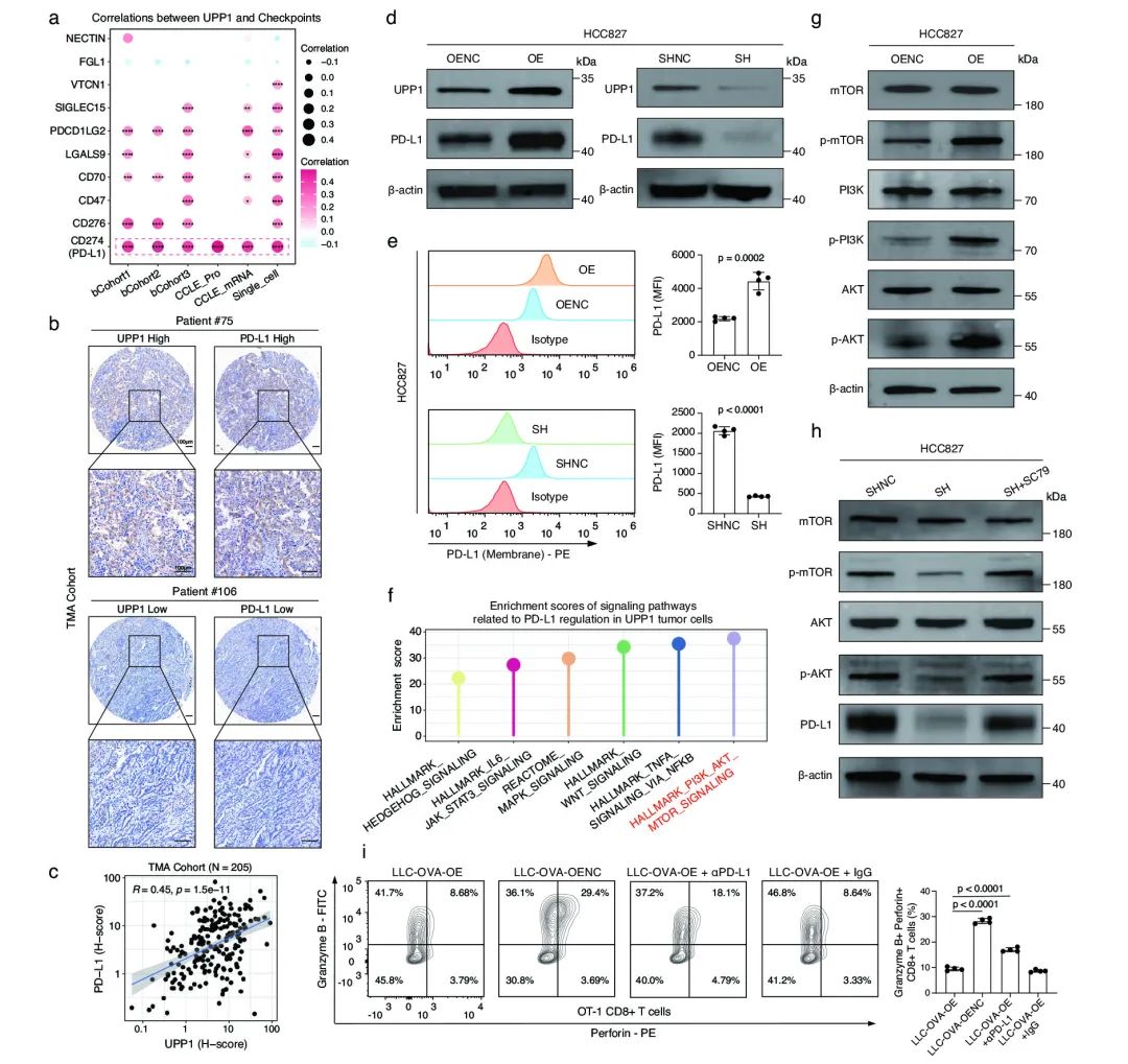
UPP1通过PI3K/AKT/mTOR途径调控PD-L1表达
研究发现,UPP1通过激活PI3K/AKT/mTOR信号通路,上调PD-L1的表达。PD-L1的高表达抑制了CD8+ T细胞的杀伤能力,而抑制UPP1可以逆转这一效应。进一步的动物实验表明,抑制UPP1可以增强CD8+ T细胞的细胞毒性,并提高抗PD-L1免疫疗法的敏感性。

研究结论4
UPP1高表达肿瘤对Bosutinib和Dasatinib更敏感
通过生物信息学筛选和实验验证,研究发现UPP1高表达的肿瘤对Bosutinib和Dasatinib表现出更高的敏感性。这些药物通过抑制Src家族激酶,干扰UPP1介导的PI3K/AKT/mTOR信号通路,从而抑制肿瘤生长。

研究结论
UPP1在LUAD中通过诱导免疫抑制微环境促进肿瘤进展。研究发现,UPP1通过TGF-β1和PI3K/AKT/mTOR途径调控PD-L1的表达,抑制CD8+ T细胞的活性。此外,UPP1高表达的肿瘤对Bosutinib和Dasatinib表现出更高的敏感性。这些发现为LUAD的个性化治疗提供了新的策略,并揭示了UPP1在肿瘤免疫微环境中的关键作用。
